Quando il focus non è l’estetica, ma la vita di un dente

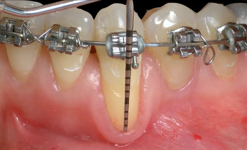
Ci sono casi in cui la priorità clinica cambia. Questo studio documenta un intervento su un incisivo inferiore con radice completamente fuori dal profilo osseo vestibolare, a seguito di trattamento ortodontico.
In queste situazioni estreme, la chirurgia mucogengivale non serve a “coprire”, ma a salvare.
Diagnosi iniziale: il dente fuori dalla mappa
- Recessione profonda post-ortodontica: perdita di gengiva a livello radicolare, con esposizione marcata della radice dopo il movimento ortodontico. Questo significa che la radice non ha più protezione gengivale sufficiente ed è esposta a traumi e infezioni.
- Corticale vestibolare completamente riassorbita (CBCT): l’osso che normalmente sostiene la radice sul lato esterno è assente. Senza osso di supporto, la radice non ha più un “contenitore” naturale che la stabilizzi.
- Radice esposta ben oltre la linea muco-gengivale: la radice “scivola” fuori dal perimetro gengivale fisiologico. In questo scenario, pensare a una copertura totale solo estetica è irrealistico: serve una strategia biologica.
- Assenza di mobilità e dente vitale: nonostante tutto, il dente è stabile e vivo. Questo rappresenta la condizione fondamentale per poter tentare il suo salvataggio.
- Paziente in trattamento ortodontico attivo: la chirurgia deve rispettare la biomeccanica in corso. L’intervento non può interferire con lo spostamento dentale programmato.
Obiettivo terapeutico: più biologia, meno estetica
- Ridare spessore e stabilità ai tessuti molli: creare un “cuscinetto” protettivo. Più gengiva significa più difesa per la radice.
- Proteggere l’elemento dentale da ulteriori insulti: prevenire danni futuri. La priorità è la salute funzionale, non solo l’aspetto.
- Mantenere la vitalità e la funzione del dente: conservare ciò che è naturale. Un dente vivo è sempre più prezioso di qualsiasi sostituzione artificiale.
- Evitare soluzioni protesiche o estrattive: preservare l’elemento naturale. Ogni volta che si può mantenere un dente, è la scelta più lungimirante.
Fasi chiave dell’intervento (V-CAF)
- Scollamento a spessore parziale: mobilizzare il lembo senza intaccare l’osso residuo. Così si protegge ciò che resta della struttura ossea.
- Inserimento di tessuto connettivo autologo: prelevato dal palato, aumenta volume e resistenza. È il materiale biologico migliore perché compatibile e stabile nel tempo.
- Protezione chirurgica del sito senza tensioni: il lembo viene posizionato in modo naturale. Una chiusura senza tensioni riduce il rischio di recidive.
- Conservazione dell’anatomia e della posizione ortodontica: nessuna alterazione della linea dentale. L’intervento si integra senza ostacolare il percorso ortodontico.
Post-operatorio: quando i tessuti rispondono
- Tessuti stabili e ben integrati: il sito chirurgico appare in salute. Segno che la guarigione procede correttamente.
- Riduzione della profondità di recessione: miglioramento tangibile, anche se non totale. La copertura completa non era l’obiettivo, ma la protezione sì.
- Assenza di sanguinamento o infiammazione: gengive sane. La chirurgia ha ridato equilibrio biologico.
- Dente completamente vitale: la polpa è rimasta intatta. Conferma che l’approccio conservativo ha funzionato.
- Nessuna mobilità o dolore: stabilità piena. Il dente è funzionale, senza sintomi fastidiosi.
Follow-up a 24 mesi
- Stabilità completa dei tessuti molli: il risultato è duraturo. Non solo un successo immediato, ma anche nel tempo.
- Nessuna perdita di attacco o infiammazione: la progressione patologica è stata bloccata. La terapia ha davvero cambiato la prognosi.
- Profilo gengivale armonico: aspetto naturale, pur senza copertura totale. L’equilibrio biologico è più importante dell’estetica estrema.
- Dente ancora vitale, con piena funzione: obiettivo principale raggiunto. Il dente continua a fare il suo lavoro in arcata.
- Mobilità assente: stabilità confermata. La funzione masticatoria non è compromessa.
Riflessioni cliniche: la copertura perfetta non è sempre il traguardo
Questo caso rappresenta un chiaro esempio di come l’obiettivo della terapia parodontale debba adattarsi alla situazione biologica. In presenza di una radice fuori dal profilo osseo, pretendere una copertura completa può essere utopico. Il focus deve spostarsi sulla gestione dei tessuti, sul rinforzo della gengiva aderente e sul mantenimento della vitalità del dente.
Salvare è meglio che sostituire
La vera vittoria in questo caso non è estetica, ma biologica.
Il dente è salvo, il paziente è stabile, e la chirurgia ha fatto il suo dovere. Quando possibile, salvare un elemento naturale resta la miglior terapia disponibile.Anche (e soprattutto) quando sembra troppo tardi.










