In chirurgia parodontale, non tutte le recessioni sono uguali.
Esistono protocolli, linee guida basate sull’evidenza, strategie consolidate per affrontare difetti singoli e prevedibili. Ma ci sono casi in cui la realtà clinica si presenta molto più complessa, con un insieme di variabili che rende necessaria una visione più flessibile, adattiva e ragionata.
Questo è uno di quei casi: una serie di recessioni contigue, con caratteristiche molto diverse tra loro per profondità, spessore dei tessuti, ampiezza, quantità di tessuto cheratinizzato e morfologia delle papille. Una condizione che potremmo definire un “tricky defect”, proprio per la presenza simultanea di più elementi di difficoltà.
Una chirurgia su misura per un caso non standard
Il punto di partenza è stato un esame clinico approfondito, che ha evidenziato:
- Differente profondità delle recessioni tra gli elementi
- Disomogeneità nella distribuzione del tessuto cheratinizzato
- Biotipo sottile in alcuni siti, più spesso in altri
- Estetica compromessa e sensibilità diffusa
In presenza di così tante variabili, sarebbe stato un errore affidarsi a un unico protocollo standard. La strategia terapeutica è stata invece costruita unendo tecniche diverse in modo integrato, per rispettare la specificità di ogni difetto e garantire il miglior risultato possibile.
Un mix chirurgico mirato: CAF + T-CAF + tunnel laterale chiuso
Per affrontare la situazione si è scelto di combinare tre approcci:
- Il Coronally Advanced Flap (CAF) per i siti centrali
- Il T-CAF (modificazione del CAF con tessuto connettivo) dove lo spessore era ridotto
- Un tunnel chiuso lateralmente per preservare la vascolarizzazione e gestire l’estensione orizzontale del difetto
Ogni scelta è stata dettata non da una preferenza tecnica, ma dalla lettura precisa del contesto anatomico. Il disegno del lembo è stato il cuore della pianificazione: nei casi complessi, il design chirurgico è spesso più importante della tecnica stessa.
Il tessuto connettivo innestato ha permesso di aumentare lo spessore nei settori più delicati, mentre il tunnel laterale ha garantito l’integrazione dei lembi senza tensioni e con una continuità vascolare fondamentale per la guarigione.
Un risultato che parla di precisione e adattamento
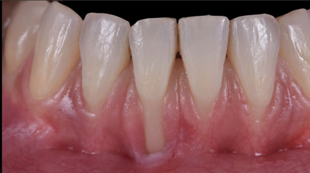
A due mesi dall’intervento, i risultati mostrano una copertura radicolare molto soddisfacente, tessuti stabilizzati e una qualità gengivale visibilmente migliorata. La linea gengivale è armonica, i margini sono integrati e l’area trattata ha acquisito una nuova continuità sia funzionale che estetica.
Il paziente ha riportato una significativa riduzione della sensibilità e una maggiore fiducia nel proprio sorriso. L’aspetto più rilevante, però, resta il dato clinico: la capacità di adattare la chirurgia alle condizioni reali, senza forzare protocolli rigidi, ma rispettando la biologia.
Trattare le recessioni significa conoscere le tecniche.
Trattare recessioni complesse significa conoscere i tessuti.
E in questo caso, la scelta del disegno chirurgico ha fatto la differenza.






