Un caso di restauro estetico su impianto con approccio muco-BOPT e innesto connettivale (CTG). Follow-up a 2 anni tra chirurgia mucogengivale e protesi biologica.
Quando basta un dettaglio per cambiare tutto
Questo caso clinico è parte di un trattamento più ampio (che ha incluso anche la gestione di un’eruzione passiva alterata e faccette estetiche), ma ha un valore autonomo perché riguarda un singolo impianto in zona anteriore.
L’obiettivo era chiaro: migliorare il profilo della gengiva, eliminare l’effetto antiestetico del “grigio” che traspare dal metallo e armonizzare i tessuti con i denti naturali vicini.
Il punto di partenza: una situazione delicata
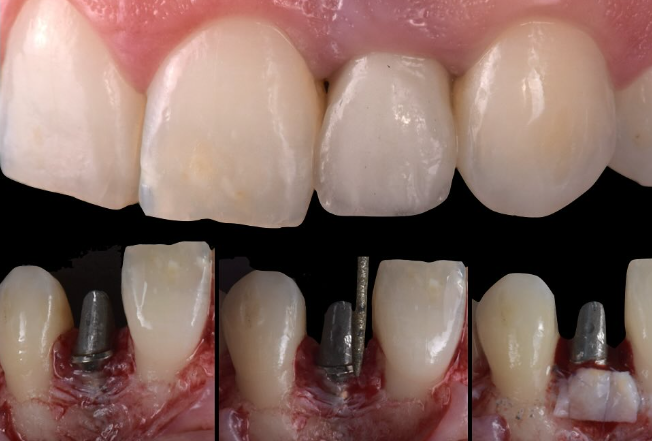
Il sito implantare presentava:
- Vecchia corona protesica: poco congrua, con adattamento imperfetto ai tessuti.
- Papille interdentali appiattite o assenti: i piccoli triangoli di gengiva tra i denti erano mancanti, creando spazi scuri.
- Buccal shading (ombra grigia): la gengiva era così sottile da lasciar intravedere il metallo dell’impianto.
- Profondità vestibolare ridotta: poco spazio di tessuto davanti all’impianto.
- Mucosa fragile e sottile: tessuto instabile e scarsamente protettivo.
In parole semplici: c’era un impianto funzionante, ma il risultato estetico e biologico era insufficiente.
Strategia terapeutica: muco-BOPT e CTG
Il piano è stato costruito combinando chirurgia e protesi, secondo i principi della perioprotesi estetica, cioè una protesi che non “copre” soltanto, ma lavora insieme ai tessuti.
Fasi operative:
- Rimozione della vecchia corona → eliminare il vecchio manufatto incongruo.
- Preparazione del collo implantare con approccio muco-BOPT → tecnica che rimodella il margine gengivale e lo spazio papillare, guidando la gengiva a una forma più armonica.
- Innesto di tessuto connettivo (CTG) → prelievo di tessuto dal palato inserito nella zona buccale, per ispessire la gengiva e ridurre il “dark shade”.
- Nuova corona protesica con profilo emergente personalizzato → la corona è stata progettata in modo che la gengiva potesse adattarsi naturalmente alla sua forma.
In altre parole: non è stato il dente finto ad adattarsi alla gengiva, ma la gengiva è stata guidata a crescere e stabilizzarsi intorno a un restauro biologicamente corretto.
Post-operatorio: i primi segnali
Nei mesi successivi all’intervento si è osservato:
- Miglioramento del profilo mucoso: la gengiva ha acquisito una forma più naturale.
- Aumento dello spessore gengivale: tessuto più forte e resistente.
- Papille interdentali ridefinite: ricostruzione dei triangoli gengivali che “riempiono” gli spazi bui.
- Riduzione del grigio buccale: la gengiva più spessa ha mascherato l’ombra metallica.
- Integrazione estetica naturale con i denti vicini.
Follow-up a 2 anni: stabilità e armonia
A distanza di due anni, i risultati sono chiari:
- Tessuti stabili e senza segni di infiammazione.
- Papille mantenute, senza regressione.
- Mucosa buccale ispessita, con un aspetto naturale.
- Nessun sanguinamento, nessuna perdita di attacco.
- Integrazione estetica duratura: il sorriso appare armonico e stabile.
Non solo dati clinici, ma anche la soddisfazione del paziente, che percepisce un miglioramento estetico e psicologico.
Cosa insegna questo caso
Questo caso sottolinea un principio fondamentale:
in implantologia, i tessuti molli non sono un contorno, ma parte attiva del progetto.
- La tecnica muco-BOPT consente di modellare la gengiva in modo biologico e stabile.
- L’innesto connettivale (CTG) permette di ispessire la gengiva, rendendola più resistente e naturale.
- La protesi non deve solo sostituire un dente, ma deve essere progettata in sinergia con i tessuti.
Non si tratta semplicemente di “cambiare una corona”, ma di progettare i tessuti per garantire estetica e salute a lungo termine.
Caso eseguito presso @ios_lecce, con approccio integrato protesico e parodontale.






